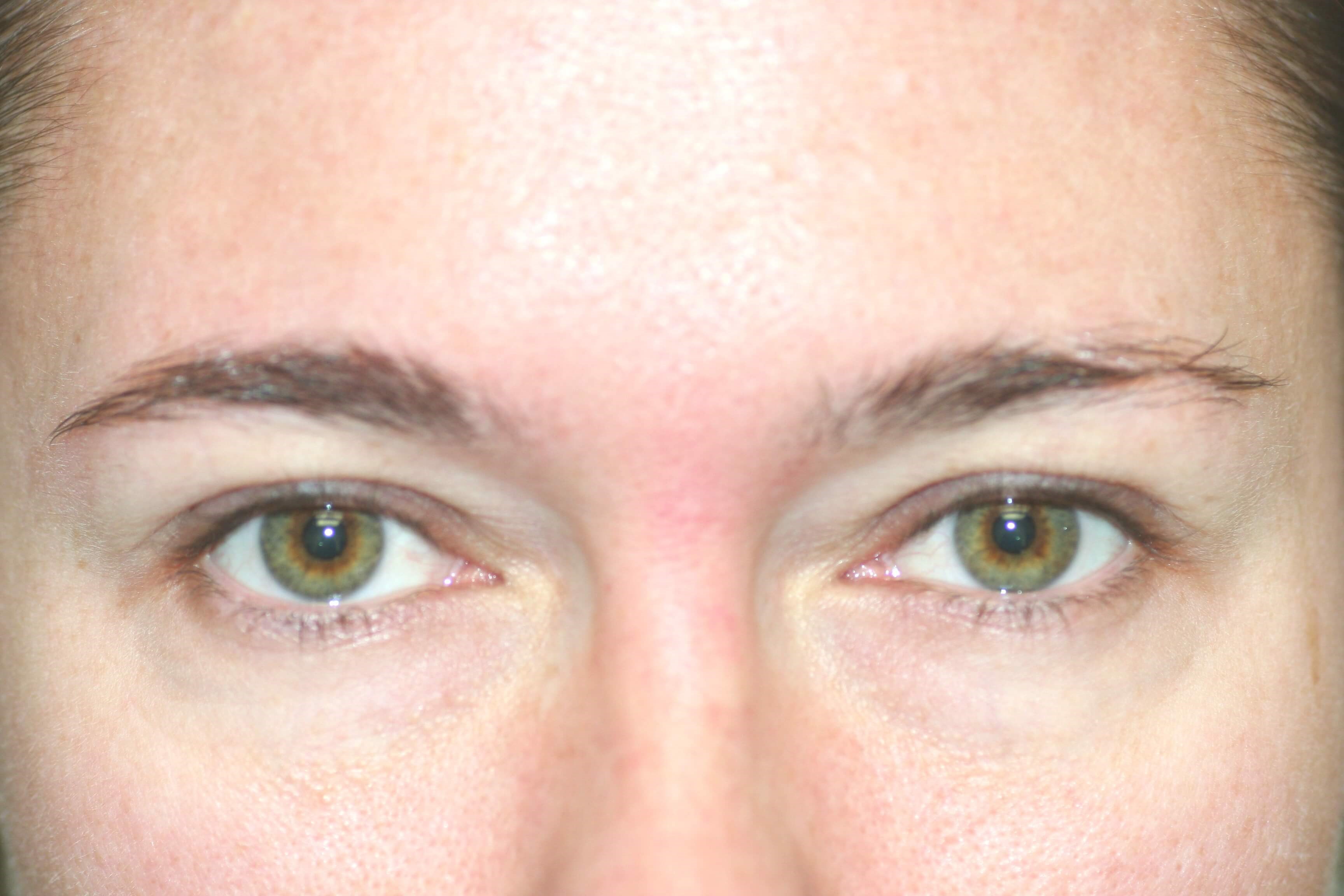
Woman Rejuvenates Upper Eyelids in San Diego, CA*
Patient
Age: 30 – 39
Gender: Female
Ethnicity: White
Height: 5’ 0” – 5’ 5”
Weight: 100 – 149 lbs
Gallery: 44101
Procedure
- Eyelid Lift
- Droopy Eyelid
- aging eyelids
- ecess eyelid skin
- wrinkles
- More…
Profile
Procedure Details
Female Blepharoplasty
Popular Searches
* All information subject to change. Individual results are not guaranteed and may vary.
