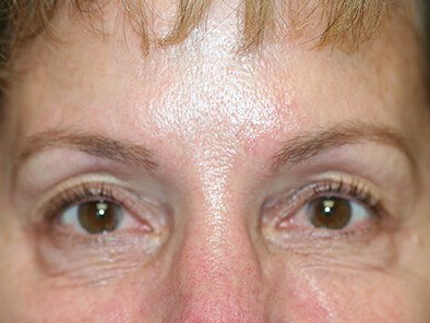
San Diego, CA Woman Rejuvenates With Eyelid Surgery*
Patient
Age: 40 – 49
Gender: Female
Ethnicity: White
Height: 5’ 6” – 6’ 0”
Weight: 100 – 149 lbs
Gallery: 48289
Procedure
- Eyelid Lift
- aging eyelids
- Excess Skin
- Blepharoplasty
- eyelid surgery
- More…
Profile
Procedure Details
blepharoplasty
Popular Searches
* All information subject to change. Individual results are not guaranteed and may vary.
